Ponedeljak petak
08 - 21h
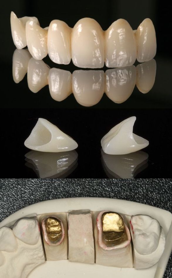
Bezmetalne krunice i mostovi predstavljaju najnaprednije estetske protetske nadoknade u savremenoj stomatologiji. U ordinaciji Extra Dental izrađujemo ih isključivo od visokokvalitetnog cirkona i specijalnih keramika koje pružaju izgled gotovo identičan prirodnim zubima. Ove nadoknade su idealan izbor za pacijente koji žele vrhunsku estetiku, visoku preciznost izrade i dugotrajan rezultat.
Bezmetalna krunica izrađuje se od cirkonijuma (ZrO2) – izuzetno čvrste i biokompatibilne vrste keramike koja prelama svetlost slično prirodnoj gleđi. Zbog toga bezmetalne krunice imaju izuzetno prirodan izgled, što ih čini najboljim estetskim rešenjem u mnogim situacijama.
.jpg)
Pošto ne sadrže metal, ne izazivaju tamne ivice oko desni, ne menjaju boju tokom godina i garantuju potpuno prirodan vizuelni efekat.
Bezmetalni mostovi su spoj više bezmetalnih krunica formiranih u jedan kompaktan blok. Izrađuju se kada nedostaje jedan ili više zuba, a pacijent želi maksimalnu estetiku i prirodan izgled nadoknada.
U Extra Dental ordinaciji, svi bezmetalni mostovi izrađuju se uz pomoć najsavremenije CAD-CAM tehnologije, koja omogućava:
Ovakav pristup pruža protetske radove koji se savršeno uklapaju u pacijentov osmeh i funkciju vilice.

Iako bezmetalne krunice i mostovi daju vrhunsku estetiku, važno je naglasiti da nisu uvek idealno rešenje za svaku kliničku situaciju.
Postoje slučajevi kada metalokeramičke nadoknade ili druga protetska rešenja pružaju stabilniji i sigurniji rezultat.
U situacijama gde su zubi kao nosači oslabljeniji, previše razmaknuti ili loše raspoređeni, stomatolog može preporučiti alternativu kako bi se izbegla eventualna preopterećenja mosta.
U Extra Dental ordinaciji, odluku o vrsti protetskog nadoknade uvek donosimo nakon detaljnog pregleda, analize snimka i konsultacija sa pacijentom, kako bi se postigao najbolji mogući funkcionalni i estetski rezultat.
Proces izrade bezmetalnih krunica i mostova obuhvata nekoliko preciznih faza:
Većina radova može biti završena u roku od nekoliko dana, osim u kompleksnijim slučajevima.
Naš cilj je da pacijentu pružimo osmeh koji izgleda potpuno prirodno, a istovremeno je funkcionalan i dugotrajan.