Ponedeljak petak
08 - 21h
Fiksne ortodontske proteze predstavljaju najpouzdaniji vid terapije za ispravljanje položaja zuba i korekciju nepravilnog zagrižaja. Za razliku od mobilnih aparata, koje pacijent može da skine i tako uspori terapiju, fiksne proteze deluju neprekidno i omogućavaju precizne, kontrolisane pomake svakog zuba. Savremena ortodoncija nudi nekoliko tipova fiksnih proteza, a izbor se prilagođava željama pacijenta, estetskim zahtevima i složenosti terapije.
Metalna proteza sa klasičnim bravicama i lukovima je i dalje najčešći izbor, posebno za mlađe pacijente i za sve slučajeve koji zahtevaju jaču silu i složeniju korekciju. Zbog svoje izdržljivosti i efikasnosti, metalne bravice omogućavaju ortodontu maksimalnu kontrolu nad pomeranjem zuba.
Ova vrsta proteze pruža odlične rezultate u najkraćem vremenskom periodu, a istovremeno je i najpovoljnija opcija. Redovne kontrole omogućavaju pravovremene korekcije, pa terapija napreduje predvidivo i stabilno. Za pacijente kojima estetika nije prioritet, metalna proteza predstavlja idealan odnos cene i kvaliteta.

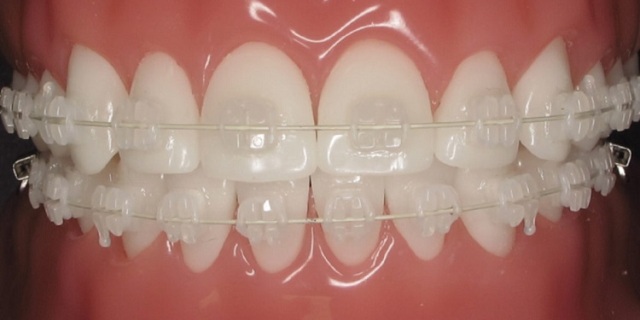
Estetske proteze namenjene su pacijentima koji žele da korekcija zuba bude što manje primetna. Bravice mogu biti keramičke (u boji zuba) ili potpuno providne, izrađene od safira. Safirne bravice su potpuno transparentne, izuzetno glatke i vizuelno gotovo neprimetne, što ih čini vrlo popularnim izborom među odraslima.
Ove proteze funkcionišu isto kao i metalne, ali nude dodatnu prednost u estetici. Zahvaljujući modernim materijalima, keramičke i safirne proteze su dovoljno izdržljive za većinu ortodontskih terapija i pružaju izuzetno udoban osećaj tokom nošenja.
Samoligirajući sistemi (kao što su Damon, Empower i drugi) predstavljaju naprednu tehnologiju u ortodonciji. Za razliku od klasičnih proteza koje koriste gumice (ligature) da pričvrste žicu na bravicu, samoligirajuće proteze imaju mali klizač ili mehanizam koji sam zatvara žicu.
Ova tehnologija omogućava:
Samoligirajuće proteze dostupne su u metalnoj i estetskoj varijanti, pa pacijent može da bira između maksimalne efikasnosti i estetskog izgleda.
Samoligirajuće estetske proteze – vrhunska diskrecija i maksimalna efikasnostZa pacijente kojima je estetika podjednako važna kao i brzina terapije, dostupne su samoligirajuće proteze sa providnim bravicama. Ovaj sistem kombinuje prednosti napredne samoligirajuće tehnologije sa potpuno diskretnim izgledom. To je najnaprednija i najskuplja varijanta fiksnih proteza, namenjena pacijentima koji žele komfor, ubrzan tok terapije i minimalnu vidljivost aparata.
Bez obzira na izbor vrste fiksne proteze, ključ uspeha je u pravilnom planiranju terapije. Na osnovu detaljnog pregleda, ortopan snimka, 3D skena i analize zagrižaja, ortodont određuje optimalan sistem koji će dati najbolji rezultat uz maksimalan komfor.
Svaki pacijent dobija personalizovan plan terapije, predviđeno trajanje nošenja proteze i jasna uputstva za održavanje. Cilj je postizanje lepog, simetričnog i funkcionalnog osmeha koji ostaje stabilan na duže staze.