Pre i posle

Pre i posle stomatoloških intervencija

 

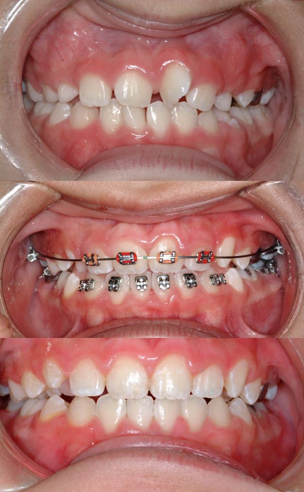
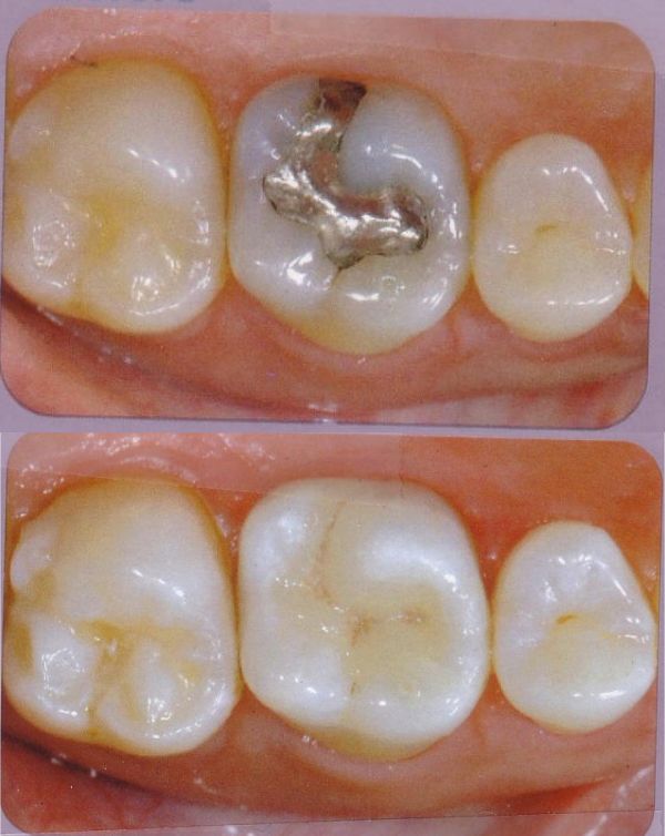
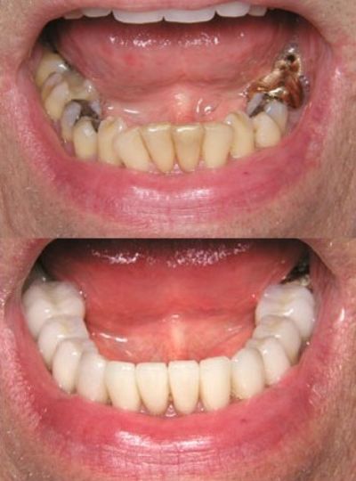
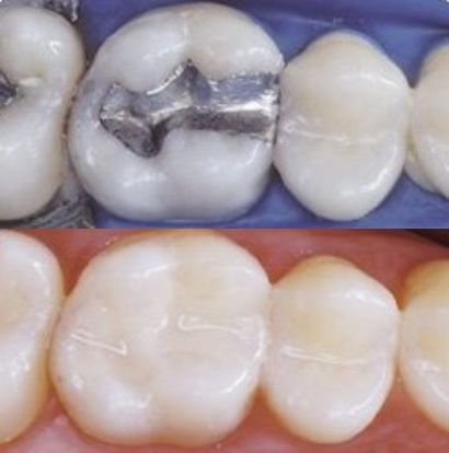
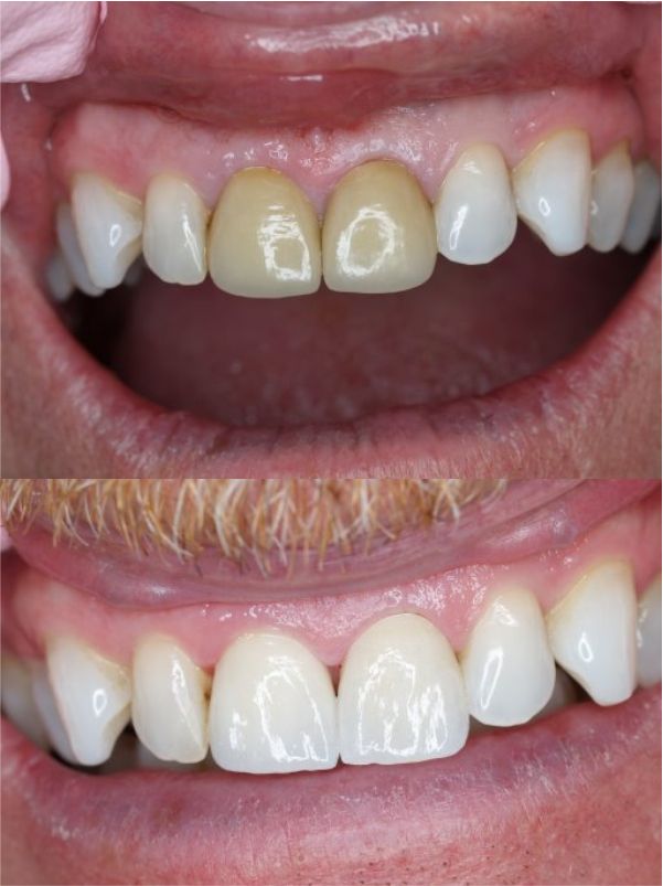
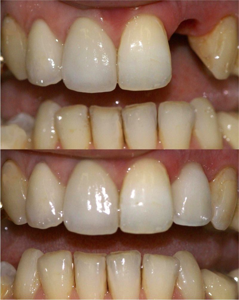
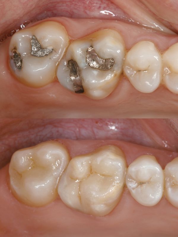
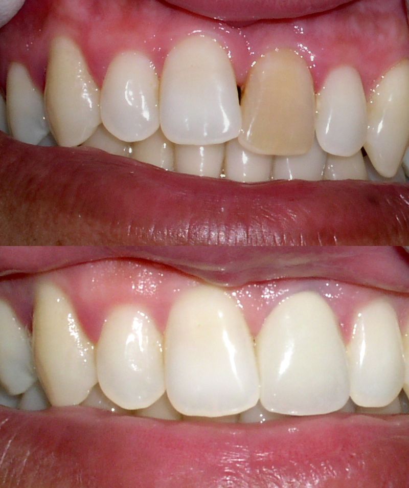
Dobro došli u galeriju stomatoloških rezultata.
Ovde možete videti različite primere intervencija koje prikazuju kako pravilni tretmani i savremene tehnike mogu doprineti zdravlju i lepoti osmeha. Fotografije „pre i posle” ilustruju tipične transformacije koje se postižu estetskim korekcijama, izbeljivanjem, protetskim rešenjima i drugim zahvatima u oblasti savremene stomatologije.

Cilj ove galerije je da pruži jasan uvid u mogućnosti savremene dentalne terapije i da inspiriše posetioce koji razmišljaju o unapređenju svog osmeha.

Pozovite