Saveti

Stomatološki saveti

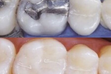
Da li su bolje bele ili amalgamske plombe?


Ovo je često pitanje pacijenata kada dođu kod zubara. Evo o čemu se tu radi. Amalgamske plombe se koriste dugi niz godina...

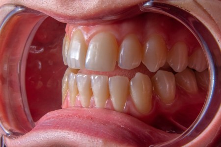
Da li je izbeljivanje zuba štetno?


Izbeljivanje zuba se vrši hemijskim putem uz pomoć polimerizujuće lampe ( lasera ) koji samo podstiču hemijsku reakciju, ali ne učestvuju...

Karijes


Najčešće oboljenje kod zuba je karijes. Nastaje tako što bakterije počnu da nagrizaju zubnu gleđ, a zatim i dentin i cement. Posledica toga je demineralizacija i raspadanje čvrstog zubnog tkiva...

Gangrena


Gangrena je odumiranje zubnog živca. Nastaje kao posledica delovanja bakterijskih toksina na pulpu, zubni živac. Usled takvog dugotrajnog dejstva toksina dolazi do odumiranja i raspadanja zubnog živca...

Parodontitis


U koliko se gangrena ne leči ili se leči na ne odgovarajući način, dolazi do parodontitisa. To je zapaljenje tkiva oko vrha korena. Nastaje kada bakterije iz kanala korena...

Bolesti desni, parodontoza


Bolesti desni, odnosno upala desni, gingivitis, je postalo jedno od najrasprostranjenijih bolesti. Najčešći uzrok upale desni, početka parodontoze, je pojačano...

Pulpitis


Pulpitis, upala zubnog živca, najčešće nastaje kao posledica ne lečenog karijesa. Karijes razgradjuje, demineralizuje, dentin koji se nalazi oko zubnog živac, pulpe...

Totalne i subtotalne proteze


Gubitak zuba je čest problem koji utiče ne samo na izgled, već i na žvakanje, govor i opšte samopouzdanje. Kada nedostaje veći broj zuba, pacijenti se često...

Parcijalne akrilatne proteze


Parcijalne akrilatne proteze su najjednostavnije i najjeftinije rešenje kada pacijent pored svojih postojećih, treba da nadoknadi i izvestan broj nedostajućih zuba u vilici....

Parcijalne skeletirane vizil proteze


Parcijalne skeletirane proteze, ili vizil proteze, su maksimalno redukovane proteze na metalnoj livenoj osnovi. Zbog metalne osnove mogu da budu...

Bele vizil proteze


Bele estetske skeletirane proteze ili bele vizil proteze prave se od specijalnog materijala, Bio Dentaplasta. Bio Dentaplast je polimer iz grupe acetala....

Silikonske parcijalne proteze


Silikonske proteze ili valplast proteze su sačinjene od specijalnih najlonskih vlakana zbog čega su fleksibilne, elastične, delimično savitljive...

Metalokeramičke krunice i mostovi


Metalokeramičke krunice i mostovi, u estetskoj stomatologiji, već dugi niz godina predstavljaju standardno rešenje za nadoknadu zuba....

Kombinovani protetski radovi


Kombinovani protetski radovi su idealno rešenje u slučajevima kada kod pacijenta sa jedne ili obe strane nema dovoljno kvalitetnih bočnih zuba...

Bezmetalne krunice i mostovi


Prednosti bezmetalnih keramičkih nadoknada u odnosu na metalokeramičke krunice su u njenoj biokompatibilnosti kao i u prirodnosti i lepoti...

Keramičke fasete (viniri)


U savremenoj stomatologiji jedan od ciljeva je korišćenje minimalno invazivnih metoda rada, kako bi se sačuvalo što više od zdravog zuba...

Impaktirani umnjaci


Umnjaci („osmice“) su poslednji zubi koji izrastaju i to izmedju 18-te i 26-te godine. Iz tog razloga, nekada se dešava da za njih nema dovoljno...

Zubni implantati


Zubni implantati su pravo rešenje kada pacijent teško prihvata činjenicu da mora da nosi protezu. Proteza ima još jedan nedostatak, a to je da...

Resorbovanje i povlačenje kosti


Resorbovanje i povlačenje kosti alveolnog grebena osim usled parodontopatije, može da bude prouzrokovano i usled protoka dužeg vremenskog perioda...

Apikotomija


Svaki koren zuba ima na svom vrhu, koji se zove apeks, otvor kroz koju prolazi krvni sud koji hrani živac zuba. Živac odnosno pulpa, se nalazi u unutrašnjosti zuba...

Uklanjanje zubnog kamenca


U svakodnevnom životu na našim zubima se stvaraju meke naslage. One se uglavnom uklanjaju redovnim pranjem zuba. Nekada se i pored dobre oralne higijene, u zavisnosti od načina ishrane...

Ciste


Ciste su šupljine ispunjene tečnostšću. Ciste na zubima su posledica dugotrajnih infekcija. Infekcija stiže u tkivo oko korena zuba iz inficirane pulpe zuba (gangrena)...

Ortopedija vilica


Ortodoncija je stomatološka grana koja se bavi dijagnostikovanjem, ispravljanjem i lečenjem nepravilnosti vilice i položaja zuba. Cilj je postizanje pravilnog zagrižaja...

Fiksne proteze


Fiksne proteze, to jest fiksni ortodontski aparati, kako im sam naziv govori, ne skidaju se. Lepe se pomoću specijalnog lepka na zube i tu ostaju sve do kraja terapije...

Fluorizacija zuba


Mineralizacija i demineralizacija naših zuba se odvija svakodnevno. Kada konzumiramo hranu u kojoj ima fluora ili kada peremo zube pastom u kojoj ima fluora...

Štitnici za zube


Bruksizam je nesvesno noćno škripanje zubima. Kod pacijenata koji pate od bruksizma dolazi do povećane abrazije (trošenja) zuba...

Nega mlečnih zuba


Mnogi roditelji misle da o mlečnim zubima ne treba preterano voditi računa jer posle njih i tako dolaze stalni zubi...

Oralna higijena


Za održavanje oralne higijene postoje osnovna i pomoćna sretstva.Osnovna sretstva su četkica za zube, pasta i konac za zube...

Da li je izbeljivanje zuba štetno


Izbeljivanje zuba se vrši hemijskim putem uz pomoć polimerizujuće lampe ( lasera ) koji samo podstiču hemijsku reakciju, ali ne učestvuju u samom procesu izbeljivanja...

Pozovite